Maxillofacial Dentistry
Maxillofacial dentistry.
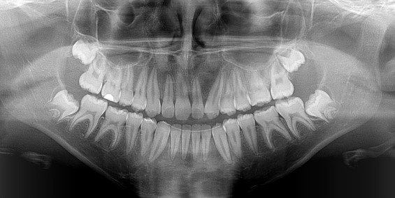
This is a vast field mostly involving surgery of some kind. Dr Coetzee does have a 3D Scanner in his practice to identify impacted teeth and will do the less complicated removal of impacted teeth that can be done under local anaesthetic in his rooms, but when general anaesthetic is required because of the severity of the impaction he will refer you to one of the maxillofacial specialist in his network, always placing you in the best hands for the treatment needed.
