Composite Restorations
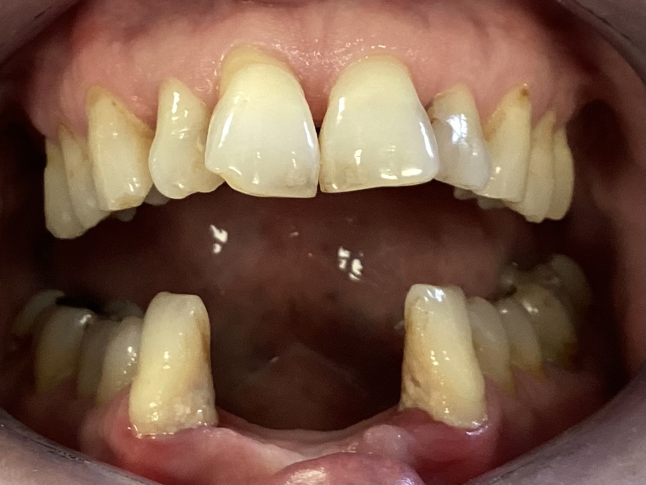
This patient was only here for 2 weeks from Canada. Visiting family, when he came to see me with his existing partial denture that was ill-fitting. We only had 2 weeks so orthodontic correction of the upper crowding wasn’t an option. We decided to use composite restorations to restore the teeth and correct the crowding as much as possible. A very pleasing result was achieved. Then we replaced the missing lower teeth utilising a 6 Unit zirconia bridge.
The patient was delighted with the result and was able to do away with his partial denture.

