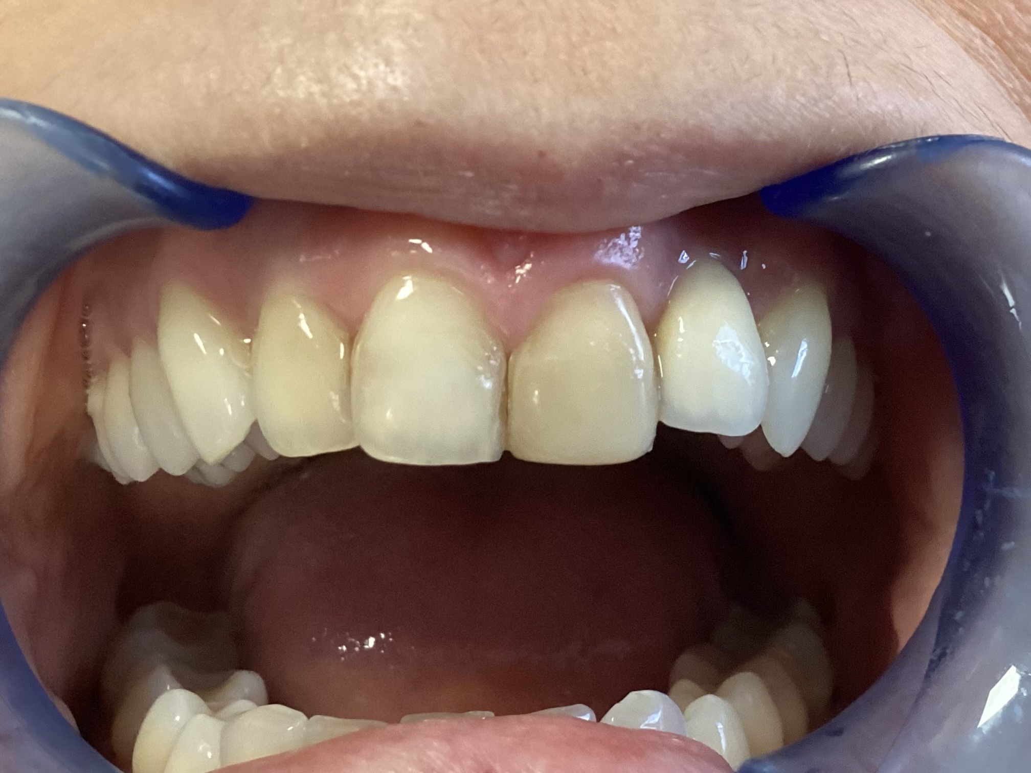
Bleaching
This patient had a single dark tooth that spoiled the aesthetics of the smile.
In a single 1hr appointment the dark tooth was bleached to match the rest of her teeth.
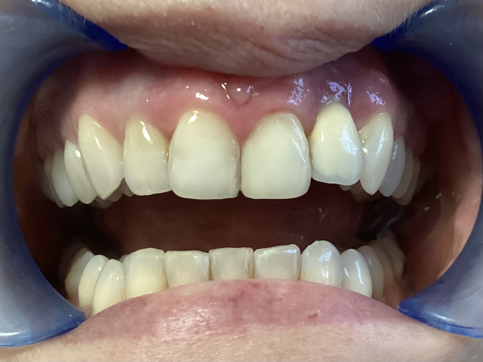
This patient had a single dark tooth that spoiled the aesthetics of the smile.
In a single 1hr appointment the dark tooth was bleached to match the rest of her teeth.