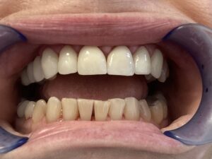
This patient was treated 1 year ago.
She presented with:
- Missing back teeth
- Asymmetrical unaesthetic upper front teeth and gum profile
- Squat looking teeth with little gum projections between the teeth.
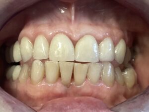
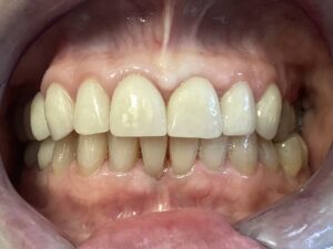
Photos 4,5,6 shows the result immediately after cementation of the final crowns.
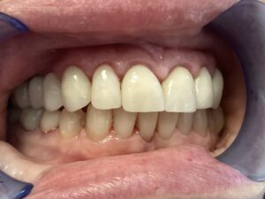
The final photos shows the one year follow up.
- Lovely aesthetically,
- healthy gumline,
- gum projections between the teeth, symmetrical,
- beautiful, secure, confident smile.
I am very pleased with how the gum filled in the spaces between the teeth. The patient has been very impressed with the end result and she is motivated to maintain good oral hygiene.
A healthy balanced occlusion has been established with good longevity, and optimum aesthetics.


