Non-Vital Bleaching

Non-Vital Bleaching

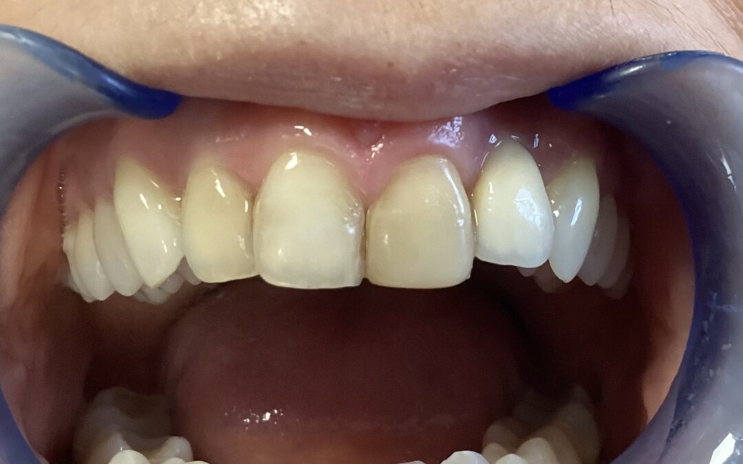
Bleaching This patient had a single dark tooth that spoiled the aesthetics of the smile. In a single 1hr appointment the dark tooth was bleached to match the rest of her...