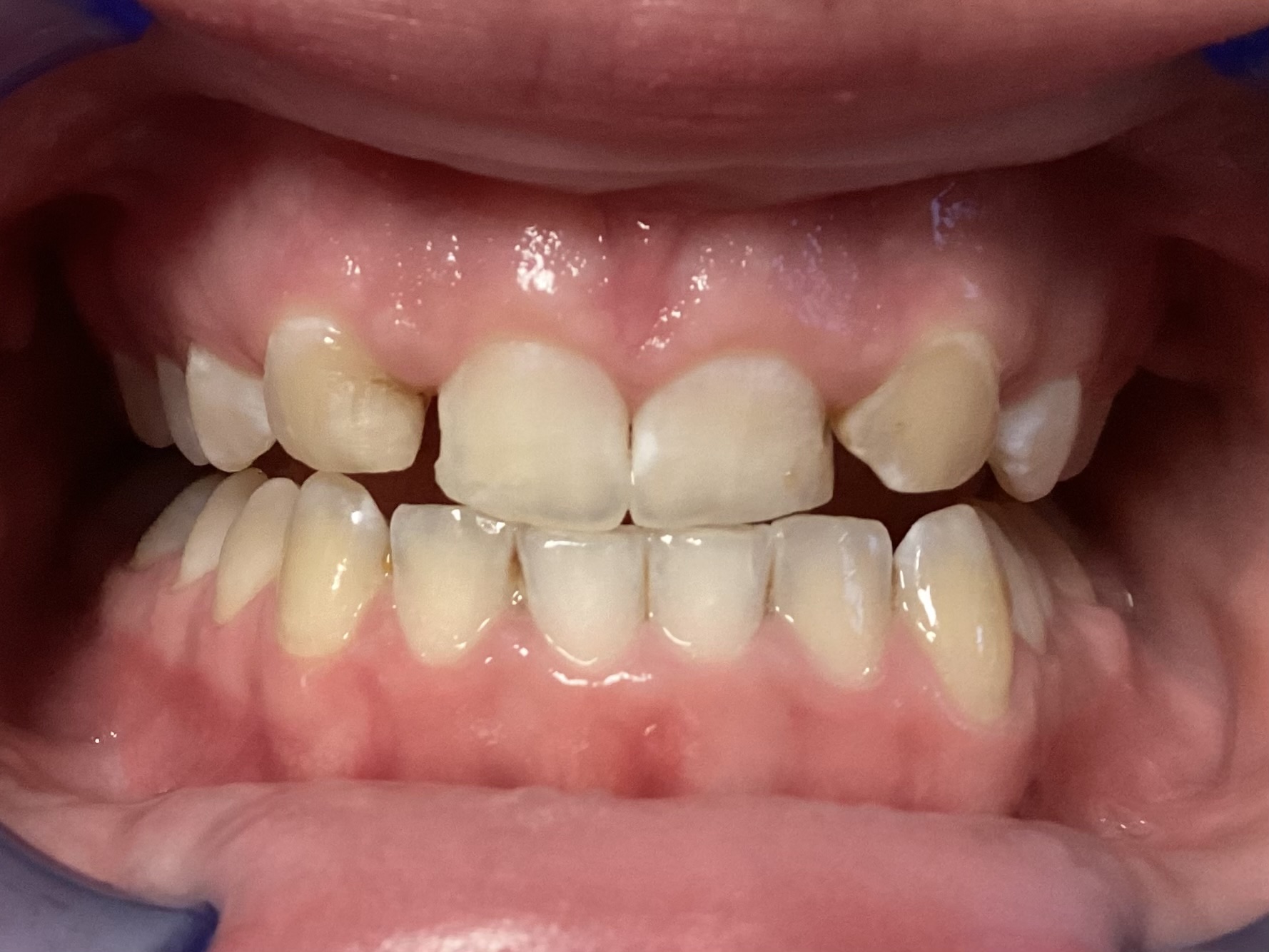
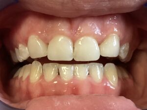
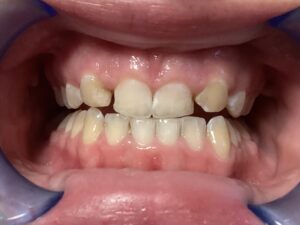
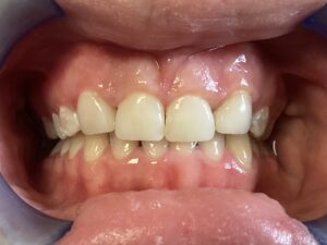
This patient arrived at my practice last week with 2 congenitally missing laterals incisors. Her orthodontist moved the canines into the position of the lateral incisors to fill the gaps but canines don’t look like incisors. They are pointy and “fat” so I told them upfront that although perfect aesthetics will not be achieved we can greatly improve the look and also remove the decay. The procedure required a single 2hr appointment and a very pleasing result was achieved with a very happy teenager leaving the practice that day. Further improvements can be done at a next visit by removing the white spots on the first premolars.


